2026-03-15 · 7 min read
PKAN Disease: Exploring Symptoms, Genetic Causes, and Progression
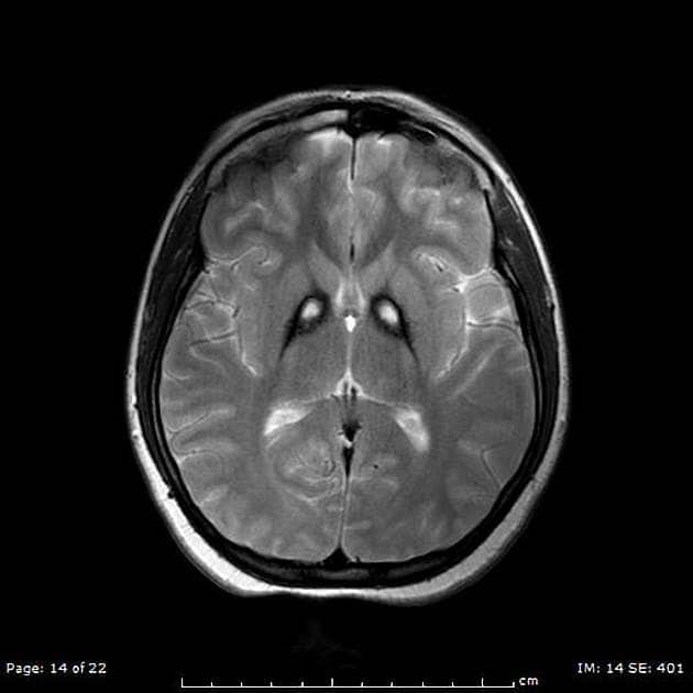
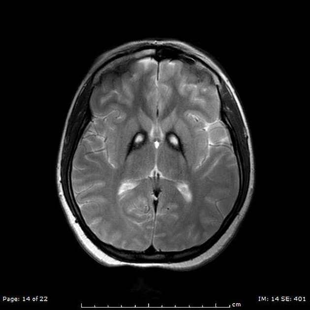
In the complex landscape of neurological disorders, Pantothenate Kinase-Associated Neurodegeneration (PKAN) disease stands out as a...
Read More →
2026-03-18 · 6 min read
Classic PKAN: Understanding Early Onset Symptoms and Progression
Pantothenate Kinase-Associated Neurodegeneration, commonly known as PKAN disease, represents one of the most prevalent forms of...
Read More →
2026-03-21 · 6 min read
PKAN & Dystonia: Navigating Involuntary Muscle Contractions
Living with a rare neurological disorder presents unique challenges, and for those affected by Pantothenate Kinase-Associated...
Read More →